サイト内検索

各種検査案内

超音波診断検査

超音波検査は別名エコー検査とも呼ばれています。
超音波とは、人の耳では聞くことのできない2万ヘルツ以上の音のことを言います。動物ではご存知のとおりイルカやコウモリは、超音波を発信して反射してきた音により障害物などを認識しています。
この検査は、超音波を対象物に当ててその反響を映像化することで、対象物の内部の状態を非破壊的に調査することのできる画像検査法の一種です。

原理

基本的には「やまびこ」と同じと考えるとわかりやすいでしょう。
『ヤッホー』といってから遠くの山に音が当たって、自分の耳に聞こえ始める時間を計測することで、山までの距離がわかります。たとえば、肝臓の深い部分に腫瘍が存在している場合でも、超音波であれば届きますので深さや大きさまでわかるというわけです。
現代の超音波診断装置は、処理能力が向上してリアルタイムに体の中をのぞくことが出来るようになりました。
超音波検査は体外からプローブを当てるだけで検査できる上、非常に安全で、痛みも無くこれといった副作用もないことから、医療現場で最も頻繁に行われる検査のひとつです。
(体内から見る超音波内視鏡検査などは痛みや不快感を伴うことがあります。)

検査の出来る部位

固い骨に囲まれている頭蓋のような部分を除けば、事実上体のほとんどの部分がエコー検査の適応となると言ってよいでしょう。代表的なものとしては以下のようなものがあります。

  • 心臓超音波検査では心臓の評価を行います。
  • 腹部エコーでは、肝臓、胆嚢、腎臓、膵臓、脾臓、大血管等の様子を観察することができます。
  • 四肢では、筋肉などの軟部組織の腫瘤の検査に使われます。
  • 乳腺でも同様に、腫瘍や炎症の評価にエコーが使われます。

超音波診断検査画像例

 

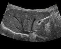
腹部エコー(肝臓)
腹部エコー(肝臓)
腹部エコー(肝門脈)
腹部エコー(肝門脈)
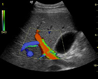
頸部動脈エコー
頸部動脈エコー
心臓エコー
心臓エコー
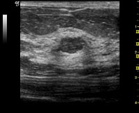
乳房エコー
乳房エコー

お問い合わせ

※超音波診断検査を受けるためには、必ず当院の受診と医師の診断が必要となります。

2階総合案内まで
TEL : 0744-29-3300(時間:午前9時~午後5時)

【臨床検査課のページへ】

PAGE TOP